
冬季很多人喜欢泡温泉或蒸桑拿,但最近各地一些医院急诊科陆续接诊因泡温泉时间过长出现头晕、乏力至昏迷的患者,经诊断这些患者为热射病。冬季也会出现热射病吗?
警惕热射病
并非“夏季专属”
热射病是重症中暑的一种类型,是人体在高温高湿的环境下体温调节中枢发生了问题,机体的产热明显大于散热,导致机体的核心温度明显升高。患者通常有两个典型症状:高烧40℃以上;内脏受损严重。
北京大学第三医院急诊科副主任、主任医师杜兰芳介绍,热射病对全身的脏器都会造成损害,包括脑、心脏、肺、肝脏、肾脏等,死亡风险很高。“如果不积极干预和救治,10个患者中有6个以上的患者都会出现死亡。”
专家表示,夏季是热射病的高发季节,但其他季节也会出现热射病。“一种情况是高温高湿环境,比如泡温泉持续时间长,第二个就是冬季跑马拉松的人员,如果穿的衣服过多,产热大于散热也会发生热射病。”
“我接诊过冬天泡温泉后昏迷就医的热射病患者。” 福建中医药大学附属第三人民医院急诊科副主任吴文思在接受采访时介绍,该患者在温泉池中长时间浸泡,出现头晕、乏力直至昏迷,经诊断正是热射病。
“热射病的本质是身体产生的热量,远远超过了它能散发的热量,导致热量在体内蓄积,与季节无绝对关系。”吴文思解释,“冬天虽然室外环境温度低,但在一些特殊情况下,人体的产热和散热平衡同样会被打破,尤其是当‘散热’这个关键环节出现严重障碍时。”
真实案例:
双肺全白!竟是蒸桑拿惹的祸
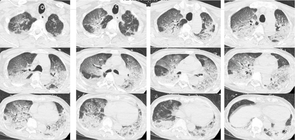
2024年12月,浙江杭州,酷爱蒸桑拿的韩爷爷(化名)于午饭后前往洗浴中心。不料刚进去没多久,整个人就昏了过去并口吐白沫,周围人帮忙拨打了120,将他送入医院。入院时,韩爷爷意识不清,血压、心率下降,医生随即为他安排头颅、胸部CT和肺血管CTA检查,结果显示,老人的双肺出现大面积白色影像。经会诊,韩爷爷被确诊为热射病诱发的肺水肿。

三类高危人群
冬季需要格外警惕热射病
专家提醒老年人、婴幼儿和慢性病患者为三类高危人群,需要格外警惕:
老年人群体,体温调节功能已经出现减退;
婴幼儿群体,体温调节功能还未发育成熟;
慢性病患者,比如脑卒中或帕金森病患者,无论哪个季节发生热射病的风险都比其他人群高。
此外,冬季室内供暖后,北方地区室温常维持在25℃以上。若长时间处于温暖且不通风的环境中,体温调节能力较弱、对温度不敏感人群可能在无意识状态下脱水,进而引发隐性体温升高。
“很多人冬季怕着凉在室内也穿得特别多,且房间没有通风,这种情况下可能会发生热射病,我们接诊的多数冬季热射病患者都属于这种情况。”杜兰芳介绍。
专家还提醒,一些年轻人穿着过于紧身衣服进行高强度运动时,人体产生的热量剧增,也要警惕热射病风险。
出现热射病症状
送医前有三步紧急处理法
出现哪些症状需要警惕热射病并及时就医?
北京大学第三医院急诊科副主任医师王军红介绍,“冬季在桑拿房或者运动的时候,如果出现头晕乏力或是恶心等症状,可能是中暑的早期表现。后期有些人会在运动过程中出现肌肉抽搐的情况,或者尿量减少,出现酱油色的尿,这提示肾脏出现早期损伤,需要到医院接受治疗。”
专家表示,热射病是急危重症,如果处理和救治不当,很容易危及生命。如果不慎出现热射病症状,在送医之前可以通过三步紧急处理方法来缓解。
首先应脱离高温高湿的环境,到相对凉爽且通风好的地方。
如果穿的衣服较厚,可以把紧身的厚衣物脱掉,用凉水擦拭身体或冰敷。
如果已经出现昏迷等情况,需要把患者的头偏向一侧,保持呼吸道通畅。
综合自央视新闻、国家应急广播、人民日报健康客户端、潮新闻股票配资最新消息
利众策略提示:文章来自网络,不代表本站观点。